INFORMAČNÍ SERVIS 2

INFORMAČNÍ SERVIS 2

Zpravodajskou relaci můžete sledovat po kliknutí na obrázek:     Návštěvníci kapitulní síně strakonického hradu byli svědky unikátního charitativního projektu nazvaného "Dívej se srdcem". Strakonické Centrum duševního...

Jak fungují biologické hodiny? Jak se správně provádí první pomoc? Kolik nakažených klíšťat se vyskytuje v českobudějovické Stromovce či jací angličtí diplomaté působili v...

Zpravodajskou relaci můžete sledovat po kliknutí na obrázek:     Na pomníku padlým u kostela sv. Václava už jsou zpátky jména strakonických občanů, kteří padli na bojištích...

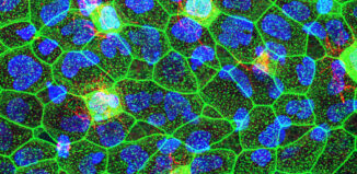
  Rána se může zahojit bez jizev, pokud jsou přítomny regenerační iniciační buňky (RIC). Tento závěr publikovali vědci z Biotechnologického ústavu Akademie věd ČR a...

Zpravodajskou relaci můžete sledovat po kliknutí na obrázek:     Parkovišti pro auta, nebo hřiště pro děti? To bylo předmětem živé diskuze vedení města s občany, kteří...

  Nejstarší tuzemská cestovní kancelář přichází před zimní sezonou s novou vizuální identitou a sloganem „Pořád je co objevovat“, který bude komunikaci Čedoku dlouhodobě propojovat...

  Letní sezóna se u lipenského jezera stává minulostí a Rodinný areál Lipno už se pomalu chystá na sezónu zimní. Ta bude letos revoluční a...

Zpravodajskou relaci můžete sledovat po kliknutí na obrázek:     Volby v Jihočeském kraji skončily jasným vítězstvím Občanské demokratické strany. Ve Strakonicích vznikla materiální sbírka pro povodněmi...

  Katastrofální povodně, které postihly Českou republiku, zasáhly také rezervaci velkých kopytníků na březích řeky Lužnice. Rozvodněný tok zaplavil celou rezervaci divokých koní, která se...

Zpravodajskou relaci můžete sledovat po kliknutí na obrázek:     Nejen Česká republika, ale i velká část Evropy čelí obrovským povodním, které způsobují značné materiální škody a...

  Klimatizace, palubní Wi-Fi síť, zásuvky 230 V a USB pro dobíjení cestovní elektroniky, dostatek místa pro kočárky a jízdní kola, audiovizuální informační systém. To...

Zpravodajskou relaci můžete sledovat po kliknutí na obrázek:     Bývalé sklady civilní ochrany ve strakonické nemocnici se proměnily na nové odběrové centrum dárců krve. Návštěvníci hoslovického...